- Hindi News
- चर्चा पत्र
- 26 साल की महिला के मुंह में 38 दांतों का वर्ल्ड रिकॉर्ड, क्या ऐसे दांत निकलवा देने चाहिए?
26 साल की महिला के मुंह में 38 दांतों का वर्ल्ड रिकॉर्ड, क्या ऐसे दांत निकलवा देने चाहिए?
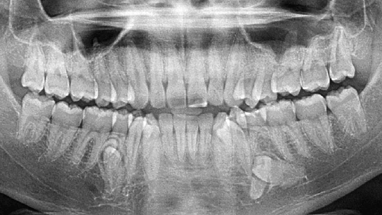
भारत में एक अनोखा विश्व रिकॉर्ड बना है। कल्पना बालन नाम की 26 वर्षीय महिला के मुंह में कुल 38 दांत हैं, जो एक सामान्य व्यक्ति से 6 अधिक हैं। इस उपलब्धि के कारण उनका नाम Guinness World Records में दर्ज किया गया है। ऐसे में सवाल उठता है कि यदि किसी व्यक्ति के मुंह में अतिरिक्त दांत हों, तो क्या उन्हें निकलवा देना चाहिए या रहने देना ठीक है?
सामान्यतः एक वयस्क व्यक्ति के मुंह में 32 दांत होते हैं। लेकिन कल्पना बालन के मुंह में नीचे के जबड़े में 4 और ऊपर के जबड़े में 2 अतिरिक्त दांत हैं। ये दांत किशोरावस्था में धीरे-धीरे उगने लगे थे। उन्हें विशेष दर्द तो नहीं होता, लेकिन खाना खाते समय अक्सर भोजन दांतों के बीच फंस जाता है।
3.jpg)
अतिरिक्त दांत क्यों होते हैं?
इस स्थिति को Hyperdontia या supernumerary teeth कहा जाता है। इसमें सामान्य से अधिक दांत विकसित होते हैं। दुनिया में लगभग 3–4% लोगों में यह समस्या देखी जाती है।
इसके कारण:
दांतों के टुथ बड्स का अधिक विकास
आनुवंशिक कारण
टुथ बड्स का दो भागों में विभाजित हो जाना
क्या अतिरिक्त दांत रखना चाहिए या निकलवाना चाहिए?
इसका निर्णय कई बातों पर निर्भर करता है। यदि अतिरिक्त दांत:
दर्द नहीं देते
चबाने में बाधा नहीं डालते
अन्य दांतों को प्रभावित नहीं करते
संक्रमण या सड़न का खतरा नहीं बढ़ाते
तो उन्हें रहने दिया जा सकता है, लेकिन नियमित चेक-अप जरूरी है।
कब निकलवाना जरूरी होता है?

डॉक्टर आमतौर पर दांत निकालने की सलाह देते हैं यदि:
खाने में दिक्कत हो
दांतों की लाइन बिगड़ने लगे
चबाने में समस्या हो
संक्रमण या सड़न का खतरा बढ़ जाए
कई मामलों में सर्जरी के जरिए अतिरिक्त दांत आसानी से निकाले जा सकते हैं, अतिरिक्त दांत होना दुर्लभ है, लेकिन हर मामले में उन्हें निकालना जरूरी नहीं होता। यदि वे कोई समस्या नहीं कर रहे हैं, तो डॉक्टर की निगरानी में रखा जा सकता है।
About The Author
Dr. Rachana Dave Bhatt is a leading Cosmetic and Aesthetic Dentist based in Surat, with over 16 years of clinical experience. Founder of R.R. Dental n' Maxillofacial Clinic, she specializes in smile design, restorative dentistry, and dental makeovers. With a passion for creating confident smiles, Dr. Bhatt combines artistic precision with modern dental techniques to deliver personalized, high-quality care.

